-
すきっ歯の症例
-
かぶせ治療症例
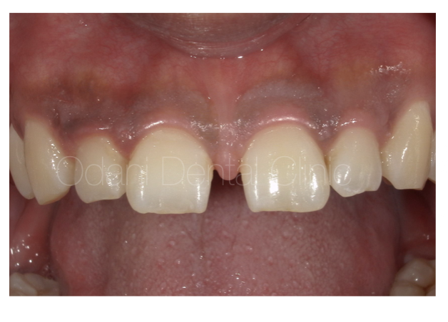
2025.09.19
部分矯正治療を行い、すきっ歯の歯の位置を整えてからかぶせ治療を行った症例 1年経過
かぶせ治療を行うに当たり、相手の歯の位置はバランスを取るためにもとても重要です。 矯正治療を併用する...
-
すきっ歯の症例
2024.03.06
すきっ歯のコンプレックスの改善!「ダイレクトボンディング」による隙間の改善
ダイレクトボンディングを用いると、こちらの症例のようないわゆる「すきっ歯」の改善を行うことができます...
-
すきっ歯の症例
-
すきっ歯の症例
-
部分修復症例
-
すきっ歯の症例
2023.07.09
すきっ歯に対して「ラミネートベニア」と「ダイレクトボンディング」を併用した症例
人の第一印象に「口元」は大きく影響します。 30代 男性 審美的改善希望 患者様は生まれつき歯の本数...
-
部分修復症例
-
すきっ歯の症例
-
部分修復症例
-
すきっ歯の症例
-
すきっ歯の症例
-
部分修復症例
-
すきっ歯の症例










