京都府長岡京市の歯科・歯医者「おだに歯科クリニック」の「症例一覧」のページです。

文字サイズ

京都府長岡京市の歯科・歯医者「おだに歯科クリニック」の「症例一覧」のページです。

  • ご予約・お問い合わせ 9:00~13:00 / 14:00~18:00(休診日:木・日・祝)
    ※休診日は学会・セミナー等で変更となる場合がございます
  • ご予約・お問い合わせ

MENU

症例

  • 症例

より良いかみ合わせに仕上げるための矯正治療+α

2025.12.27

より良いかみ合わせに仕上げるための矯正治療+α

こちらの患者様は、奥歯が割れてしまい、抜歯が必要な状態で来院されました。 噛み合わせを確認すると、「...

  • 症例

印象が変わる!歯ぐきの黒ずみに対するガムブリーチ(漂白)

2025.06.12

印象が変わる!歯ぐきの黒ずみに対するガムブリーチ(漂白)

歯ぐきが黒くて、人前で大きくお口を開けて笑えない方に朗報です。 歯ぐきの黒ずみは原因にもよりますが、...

  • 歯周外科症例

  • 症例

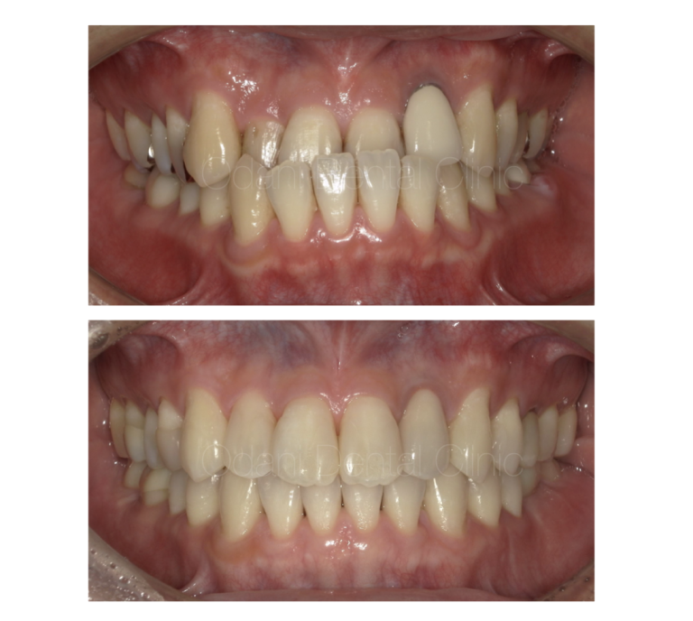
歯並び×歯周病の問題がある場合の歯周矯正治療

2024.01.11

歯並び×歯周病の問題がある場合の歯周矯正治療

歯並びの問題がある場合、奥歯に過度な力が加わり、歯周病が進行してしまう場合があります。 こちらの患者...

  • Category

  • 人気記事(閲覧数)

  • Archive

  • to top