まずは矯正担当の歯科医師によるカウンセリングにてご相談下さい

お口の中を確認させて頂いた後、患者様ひとりひとりに合った治療方法・装置・治療期間・費用について、選択肢をいくつかご説明させていただきます。歯並びや噛み合わせに関する心配や疑問にも矯正担当の歯科医師が丁寧にお答えいたします。

「全部の歯ではなく、気になる部分だけ綺麗に揃えたい!」というようなご要望を多く受けます。そのような患者様には前歯だけ、奥歯だけの治療も行っております。結婚式・就職活動・進学を控えており短期間で治療を終えたい方、費用を抑えたい方にご好評を頂いています。
※お口の状態によっては部分矯正では対応できない場合があります。

「最終的にどのくらい費用が必要になるのかが分かりにくい」と言われることの多い矯正治療ですが、当院では費用面で不安に思われることがないように、カウンセリング時におおまかな料金をお伝えし、診断時にトータルの治療費をすべて明確に提示致します。お支払い方法についてのご相談も承っておりますので、ご相談ください。

当院には、虫歯治療や歯周病治療、インプラント治療など複数の専門性を有する院長と、矯正担当の歯科医師が在籍しており、一つの歯科医院で矯正から一般歯科治療、予防歯科までトータルの治療を効率的に受けることができます。

矯正治療を検討されている患者様には、口元が出ていることを気にされている方が多くいらっしゃいます。当院では、専用の分析ソフトにより、治療後の横顔がどのように変化するのかシミュレーションを行うことができます。
治療方針を決める際にシミュレーションをご覧いただくことで治療のゴールがイメージでき、治療に対するモチベーションのアップに繋がります。

近年、様々な装置が開発され、装置選択の幅は確実に広がっています。当院では目立ちにくい装置・取り外し可能な装置・痛みの少ない装置・お子様の負担が少ない装置など、いろいろな矯正装置をご用意しております。
それぞれの患者様に適した装置をいくつかご提案し、治療期間や費用をご相談させていただいた上で最終的に使用する装置を決定していきます。

「結婚式・就職活動など、人生の一大イベントが控えているから、それまでに美しい歯並びになりたい」という患者様に対する治療プランもご用意しております。
イベントまでに治療が終わらないことが予想される場合でも、気になる箇所から優先的に治療したり、イベント前に一旦装置を外してイベント後に再装着することもご相談頂けます。
矯正医 小田垣 直弥Naoya Odagaki

矯正治療を行う上で最も大事なことは、治療方針の立案(診断)です。診断により設定した治療ゴールを患者様と共有することを、私は特に大切にしています。いくつかのプランをご提示させていただいた上で、どのように治療を行っていくのか、患者様にとってどのような方法・装置が最適であるのかをご相談します。そして、歯科医学的な面からメリットとデメリットをよくご理解いただいた上で治療を行うようにしております。
私自身も実は矯正治療を受けた経験があり、「この喜びを皆様に実感して欲しい」という気持ちで、日々の治療に取り組んでいます。
歯並びやかみ合わせのお悩みをお持ちの方は、どのような些細なことでもまずはお気軽にご相談ください。
| 経歴 |
|
|---|
当院では様々な装置の中から患者様おひとりおひとりの症状に合わせた装置を選択致します。

![]() |
透明で目立ちにくく、取り外し可能なマウスピースをおおよそ1週間に1回交換することで理想的な歯並びに改善していきます。1日最低20時間の使用が必須です。 メリット
デメリット
|
|---|
*完成物薬機法対象外の矯正歯科装置であり、医薬品副作用被害 救済制度の対象外となる場合があります。
*インビザラインの薬機法における未承認医療機器について詳細はこちら
![]() |
表側ワイヤーはあらゆる不正咬合に対応できる最も一般的な矯正の方法です。当院で取り扱っている表側ワイヤーは目立ちにくいセラミックブラケットやホワイトワイヤーもご用意しております。 メリット
デメリット
|
|---|
![]() |
裏側ワイヤーはリンガルブラケット矯正(舌側矯正)とも呼ばれ、他人に気づかれにくいことが最大のメリットです。矯正装置の見た目が気になって治療に踏み切れない方や、マウスピースを使うことが難しい方にオススメです。 メリット
デメリット
|
|---|
![]() |
歯並びや噛み合わせに関するご不安やご要望をお伺いします。お口の中を拝見し、簡単なお写真を撮影した上で、矯正担当の歯科医師がカウンセリングさせていただきます。予想される治療方針、期間、費用などもお伝え致します。 不安に思われている点、疑問点などに細かくお答えしますので、どうぞ遠慮なくご質問ください。 |
|---|
![]() |
歯や骨の詳しい状態を把握するために行います、 歯が動くには時間がかかり、どのような方針で治療を行っていくか決めることが最も大切なステップです。適切な診断を行うため、レントゲンや写真などの詳しい検査をさせていただきます。 |
|---|
![]() |
精密検査の結果をご報告し、考えられる装置と治療プラン、予想される治療期間と費用をご案内させていただきます。不明な点があれば遠慮なくご質問ください。 問題なければ契約を行い、治療のスタートです! |
|---|
![]() |
検査でむし歯や歯周病が見つかった場合、先にそちらの治療を行います。 装置の準備ができ次第、装置を装着して治療がスタートします。 |
|---|
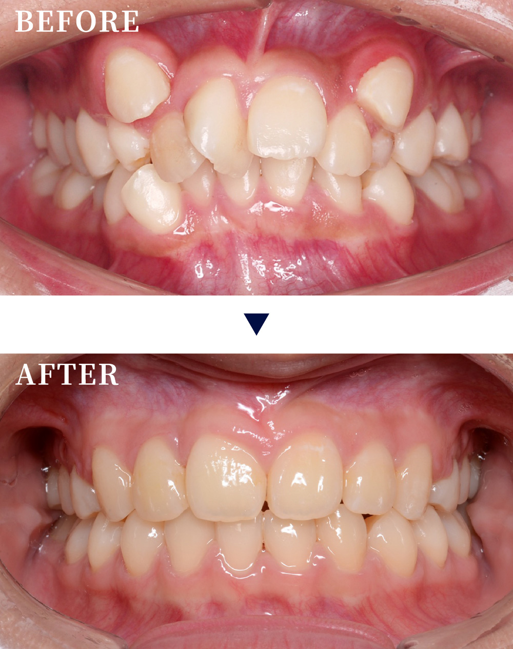
| 主訴 | 上顎前突(出っ歯)、叢生(ガタガタ) |
|---|---|
| 年齢 | 18歳女性 |
| 期間 | 2年3か月(通院28回) |
| 装置 | メタルブラケット |
| 治療方法 | 上下顎左右第一小臼歯抜歯 |
| 治療費 | 装置代¥704,000(税込)+調整料¥3,300/回(税込)+上下保定装置代¥33,000(税込) |
| 起こりうるリスク | 歯肉炎、歯周病、歯根吸収、歯肉退縮 |
| 主訴 | 叢生(ガタガタ) |
|---|---|
| 年齢 | 40歳男性 |
| 期間 | 1年5か月(通院10回) |
| 装置 | マウスピース型カスタムメイド矯正装置(インビザライン) |
| 治療方法 | 非抜歯 |
| 治療費 | 装置代¥935,000(税込)+上下保定装置代¥33,000(税込) |
| 起こりうるリスク | 歯肉炎、歯周病、歯根吸収、歯肉退縮 |
| 主訴 | 下顎前突(受け口)、叢生(ガタガタ) |
|---|---|
| 年齢 | 7歳女児 |
| 期間 | 2年9か月(通院30回) |
| 装置 | 拡大装置、上顎前方牽引装置、クリアプラケット |
| 治療方法 | 歯列の側方拡大、上顎の前方牽引 |
| 治療費 | 装置代¥440,000(税込)+調整料¥3,300/回(税込)+上下保定装置代¥33,000(税込) |
| 起こりうるリスク | 歯肉炎、歯周病、歯根吸収、歯肉退縮 |
おだに歯科クリニックで使用しているマウスピース型カスタムメイド矯正装置(製品名:インビザライン®)は、日本の薬機法で認証・承認を得ていない装置のため、違和感を感じた場合は速やかにクリニックへご連絡ください。 装置は日本で歯科医師・歯科技工士が製作するのではなく海外で製造され、既製品ではなくカスタムメイドのため薬機法の対象外です。 そのため、医薬品副作用被害救済制度の適用外になる場合がありますので、ご了承の上で使用いただくことが必要です。
マウスピース型カスタムメイド矯正装置は国内にも承認を得ているものもございます。
インビザラインは、アメリカのアライン・テクノロジー社の製品であり、当院は同社のグループ会社である「アライン・テクノロジー・ジャパン株式会社」より入手しています。
インビザライン®は1998年に米国FDAの認証を受けており、2023年3月時点で世界中で1500万人が治療を受けていますが、重大な副作用の報告はありません。
ご不明な点がございましたら、どうぞお気軽にお問い合わせください。