- Home
- 症例ブログ
-
根の治療
-
かぶせ治療症例
-
ブリッジ症例
-
抜歯症例
2025.08.22
抜歯時に併用する治療オプション「抜歯窩保存術(Ridge Preservation,Socket Preservation)」
抜歯の方法は様々です。 歯を抜いた穴の中に人工の骨移植材を入れ、ヘコみを少なくする「抜歯窩保存術」を...
-
かぶせ治療症例
-
歯周外科症例
2025.08.16
歯周外科処置を用いてメタルタトゥー(歯ぐきの黒ずみ)を除去して、セラミック修復を行なった症例
歯ぐきの黒ずみは時に大きな審美障害を招きます。 歯ぐきの黒ずみは、相手に与える印象にも影響し、コンプ...
-
根の治療
-
かぶせ治療症例
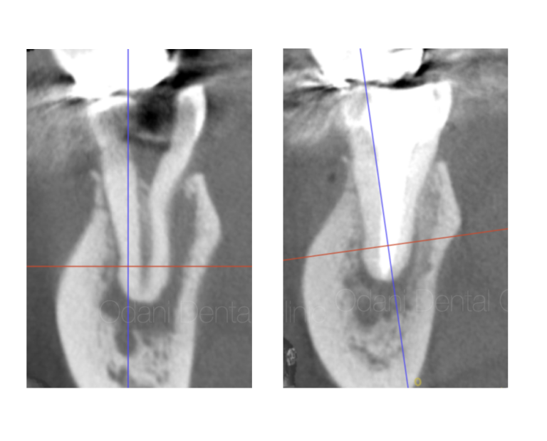
2025.08.07
CTとマイクロスコープにより隠れた根管を発見して治療した症例 1年経過
症例プロフィール 来院までの背景 最近奥歯が噛むと違和感があるということで健診希望のため来院されまし...
-
歯周外科症例
-
インプラント症例
-
歯周外科症例
-
ブリッジ症例
-
抜歯症例
-
ブリッジ症例
-
抜歯症例
-
根の治療
-
お知らせ










