
一般的に歯を抜歯した後の治療法として、「入れ歯」「ブリッジ」「インプラント」の3つが選択肢として挙げられますが、かみ合わせの力が強くかからない前歯であれば「接着ブリッジ」を用いて隣の歯をほとんど削ることなく治療が可能となる場合があります。
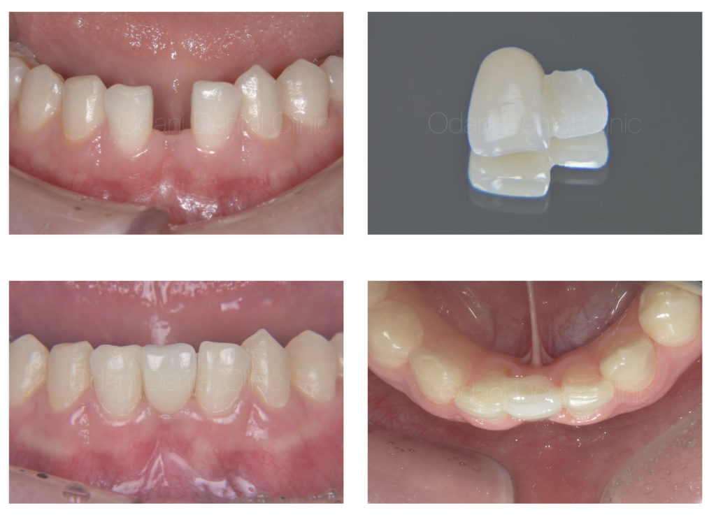
近年の接着技法を用いると、隣の1本の歯の裏面を少し整えて接着ブリッジをピタッと強固に貼り付けることで、写真のように自然な歯を作ることが可能となります。ちなみに、両隣の歯に貼り付けるよりも、片方の歯に貼り付けた方が予後が良いことが過去に報告されています。接着ブリッジで両隣の歯に貼り付けるとそれぞれの歯の動きが異なるため、接着ブリッジではどちらかの歯が外れてしまいやすいと言われています。

隣の1本の歯の裏面から歯を貼り付けています。
奥歯や犬歯などの強い力のかかる歯や、かみ込みが深いかみ合わせの方には適応は難しいですが、前歯で力が強くかからない歯であればブリッジやインプラントを回避できる症例があります。
ジルコニアセラミックを用いた接着ブリッジ 22万円(税込)
内訳:ジルコニアセラミックによるポンティック(ダミーの歯)16.5万円、リテーナー(貼り付け装置)5.5万円(税込)
起こりうるリスク:強い衝撃が加わると、セラミックが欠けたり割れたりする可能性があります。必ずしもご希望通りの見た目にならない事があります。
接着ブリッジの成功のポイントは適応症の選択です。ご興味がある場合は一度ご相談下さいませ。
