ブリッジ治療にも良いところがあり、その使い方が重要です。
70代 女性 前歯が揺れている

こちらの患者様は下の前歯4本が揺れており、歯周病の影響で歯を保存することが難しい状態で来院されました。歯周病の増悪因子の一つに、歯のガタつきによりかみ合わせの力が歯に過剰にかかっていることが考えられました。
両サイドの3番目の歯はしっかりとしていたため、抜歯してブリッジの治療を行うこととし、かみ合わせの改善を同時に図ることを計画しました。
抜歯後のヘコみを少なくする抜歯窩保存術

通常抜歯を行うと、歯ぐきがへこみ、清掃しづらい修復になることが考えられましたので、抜歯と同時に「抜歯窩保存術」といって歯を抜いた穴の中に人工の骨移植材を入れ、凹みを少なくする処置を併用しました。
抜歯窩保存術の費用:5.5~11万円(税込)
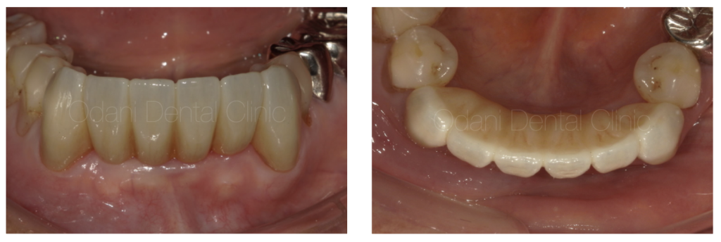
最終の歯ぐきの状態とブリッジ修復

歯ぐきのヘコみを最小限に食い止め、ブリッジ修復を行いました。

ブリッジはフルジルコニアによる修復を行いました。

こちらはブリッジ装着時の状態です。
フルジルコニアクラウン 13.2〜15.4万円/本(税込)
治療後のリスクとしては、必ずしもご希望通りの見た目にならない事があります。また、根の問題が生じた場合、根管治療の必要性が生じる可能性があります。
ブリッジ治療のメリットは、
・固定式でご自身の歯と同じような感覚
・抜いた歯だけでなく隣の土台の歯も含めてかみ合わせと色調を改善することができる

ブリッジ治療により前歯6本のかみ合わせが改善しました。
ブリッジ治療のデメリットは、
・土台となる歯を削る必要がある(すでに修復されている歯は削る量が少なくなります)
・土台の歯に負担がかかるため、土台の歯が弱い場合は向いていない
・必ず歯間ブラシによる清掃が必要となる。

ピンクの部分:治療した部位
実際に当院にご来院されました患者様には、具体的な資料やご自身の状況に近い治療実例を見て頂き、治療に関するご相談をさせて頂きます。
