
今現在、奥歯のかぶせ治療でおすすめしている修復方法は、セラミックを用いない「フルジルコニア修復」という方法です。
ジルコニアは強度があり軽いものの、15年以上前なら便器のような白さで積極的に選択とはいきませんでしたが、白いジルコニアをフレームに使用して表層にセラミックを焼成する「ジルコニアセラミック修復」はこれまでも多く用いられてきました。そして、ここ数年でジルコニア自体の透明感も進化し、セラミックを用いずともジルコニア単体でそれなりの色調表現が可能になったため、ジルコニア単体によるフルジルコニア修復が多く用いられるようになりました。
セラミック修復に比べると透明感は劣りますが、割れたり欠けたりする可能性が大きく軽減できることがメリットです。セラミック修復に比べて費用も少し抑えることができます。そして、丁寧に支台歯形成(土台の歯の形を整えること)が適切に行われると、適合精度も高いものが提供できます。また、セラミックを使用しない分削る量も少なくなるため、土台の歯にも優しい方法になります。ツルツルに研磨して仕上げると、かみ合わせの相手の歯を磨耗させるリスクが最も少ない方法でもあり、現在は奥歯のかぶせ治療の第一選択と考えております。ゴールド(金)の歯は、精度が高く、削る量も少ないですが、ギラっと目立ちやすい、熱伝導性が高いため冷たい水などが染みやすい、そして金自体が比較的柔らかい金属で、経年的に磨耗しやすいなどのデメリットもありますので、ご希望の方を除いて現在ではほとんど使用することはありません。

実際にはこのように色合わせのための写真撮影を行い、技工士と共有することで、

これくらい色調表現が可能になります。
※周りの歯の色調により、調和しやすい場合とそうでない場合があります。審美的結果を最優先する場合は、奥歯でもセラミック修復をお勧めしております。

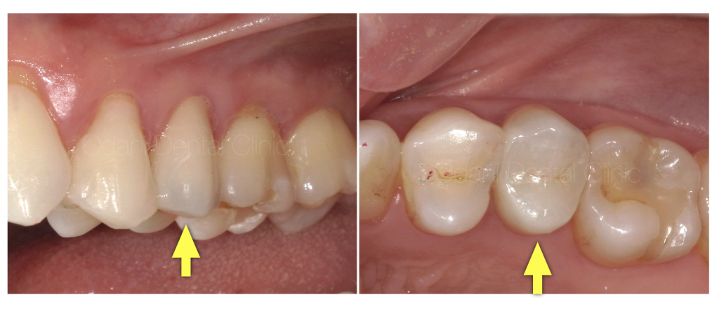
こちらもフルジルコアクラウンです。

フレームまですべて白いため、このように歯ぐきから離れたところでかぶせても

ピンク印:治療した部位
そこまで目立ちません。この手法は歯を削る量をさらに少なくでき、継ぎ目の部分に清掃道具を当てやすいというメリットもあります。
フルジルコニアクラウン 14.3〜16.5万円/本(税込)
治療後のリスクとしては、必ずしもご希望通りの見た目にならない事があります。また、根の問題が生じた場合、根管治療の必要性が生じる可能性があります。
実際に当院にご来院されました患者様には、具体的な資料やご自身の状況に近い治療例を見て頂き、治療に関するご相談をさせて頂きます。
