こちらの患者様は、奥歯が割れてしまい、抜歯が必要な状態で来院されました。

さらに噛み合わせを確認すると、「受け口(反対咬合)」の状態でした。

このような噛み合わせでは、奥歯に大きな負担がかかりやすく、歯の寿命を縮めてしまう可能性が高くなります。
実際に、
「80歳で20本以上歯が残っている人の中で、受け口の方はほとんどいない」
という報告もあり、こちらの患者様の場合も虫歯の問題や根の問題、歯の劣化などの問題が複数生じておりました。
そこでこちらの患者様は、
まず虫歯や根の問題をクリアした上で矯正治療によって噛み合わせを整え、その後インプラント治療と最終のかぶせ治療を行う
という計画を立てました。

矯正治療前にはこのようにデジタルデータ上でシミュレーションを行います。
歯科治療においては、A→B→Cの順に進んだらうまくいくものが、A→C→Bの順に進んでしまうと治療内容は同じでも結果が全く異なることがあります。矯正治療と虫歯治療・根管治療・インプラント治療・かぶせ治療の関係はまさにその関係性にあります。
虫歯や根の問題は原則的に矯正治療前に改善を図りますが、かぶせ治療やかみ合わせにかかわるような大きな修復が必要となった場合は仮の状態で矯正治療へと進み、矯正治療後に最終の修復を行ったほうがより良いかみ合わせにつながります。なぜなら、矯正治療はミリ単位の治療であるのに対して、修復治療は10ミクロンレベルでの精度を追求することができるためです。
矯正治療とインプラント治療の関係に関してはこちらの記事にて>>>
治療の流れ
・矯正検査・診断 3.3万円(税込)
・マウスピース矯正(インビザライン)
93.5万円(税込・調整料込み)
起こりうるリスク:装置を装着した直後や、調整後に「歯が浮いた感じ」「押されるような痛み」を感じることがあります。歯を動かすことで、まれに歯の根が少し短くなることがあります。ほとんどの場合は問題にならない程度ですが、個人差があります。矯正装置が入ると、歯みがきが少し難しくなります。治療途中では、一時的に噛みにくさを感じることがあります。歯の動き方には個人差があり、骨の状態や噛む力、装置の使用状況(マウスピースの装着時間など)によって、予定より治療期間が長くなることがあります。矯正治療が終わった後も、歯は元の位置に戻ろうとする性質があります。そのため、保定装置(リテーナー)を正しく使うことがとても大切になります。
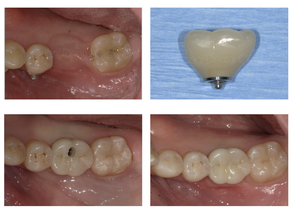
歯並びが整った後、計画通りの位置にインプラントを埋入し、その後かぶせ治療を行っていきました。
・インプラント治療
1本 49.5万円(税込)+必要に応じた追加オプション
起こりうるリスク:手術後、痛みや違和感、出血、腫れなどが出る可能性があります。最終上部構造は必ずしもご希望通りの見た目にならない事があります。

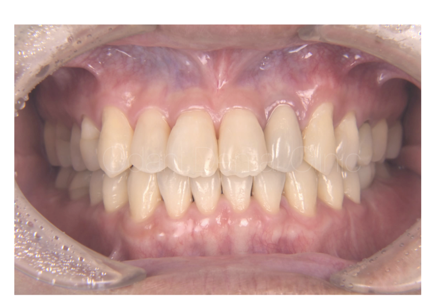
治療後の変化

矯正治療によって噛み合わせが整い、その上でインプラントと修復治療を行ったことで、
見た目だけでなく、しっかり噛める安定した状態を作ることができました。

矯正治療終了後約3年となります。
矯正治療は虫歯治療・根管治療・インプラント治療・かぶせ治療とうまく組み合わせて考えることで、より長期的に安定した結果につながります。当院では綿密な患者様一人ひとりに合った治療計画をご提案することに努めております。実際の診察では、資料や症例を用いながら、分かりやすくご説明いたしますので、お気軽にご相談くださいませ。
当院は阪急京都線「西山天王山駅」徒歩2分、
京都縦貫道・長岡京ICすぐの場所にあり、
京都だけでなく大阪・兵庫・滋賀・三重・福井など、遠方からも多くの方が来院されています。
遠方の方には、通院回数をできるだけ少なくする工夫も行っております。
