症例プロフィール
- 年齢・性別:30代女性
- 主訴:右下の奥歯が腫れてきた

来院までの背景
右下の奥歯が約1か月前より腫れており、噛む時の違和感が続くとのことで来院されました。
初診時の状態と診断のポイント

診察および画像検査の結果、もともと根管治療の既往がある歯であり、細菌感染に伴う骨の吸収が広範囲に起こっていることが分かりました(赤丸)。
このまま放置すると、さらに感染が進行し、骨の吸収の範囲が拡大し、歯の保存が困難になる可能性がある状態でした。
治療方針のご説明
歯根に破折等の損傷がなければ、感染根管治療を行うことで治癒が見込める可能性があることをご説明しました。
歯を残す選択肢として、根管治療を第一選択として治療を進めることとなりました。
実際の治療内容
- 治療部位:右下大臼歯
- 治療内容:感染根管治療(再治療)

まずは写真のようにラバーダム防湿を行い、唾液(細菌だらけ)が根管内に入らない環境で周囲を消毒してから治療していきます。

そして、30倍まで拡大できる歯科用顕微鏡下で、根管内につまっている詰め物や汚れを徹底的に除去し、清掃・洗浄を丁寧に行いました。
洗浄には、薬剤や超音波洗浄に加え、超弾性ニッケルチタンファイルやEr:YAGレーザーも併用し、根管内の細菌除去を徹底します。

幸い、根管治療により腫れは引き、レントゲン的にも影が薄くなってきていたため、治癒傾向にあると判断できました。
治療終了時の状態

根管治療後、 術後3ヶ月で黒い影がほとんどなくなり、骨が回復している様子が伺えます。
痛みや腫れ等の症状も全てなくなったため、最終のかぶせ物の治療を行いました。
治療期間・回数・費用
- 治療期間:根管治療後、約3か月経過観察を行い、CT画像にて治癒が確認できたため、最終的なかぶせ物の治療へ移行しました。
- 通院回数の目安:
・根管治療:2〜4回
・かぶせ物治療:3〜4回 - 費用:大臼歯 感染根管治療(再治療) 12.1万円(税込)
※土台の補強とかぶせ物の費用は別途となります。
リスク・副作用について
- 治療後に一時的な痛みや違和感が出ることがあります。
- 根の病気が再発する可能性があります。
- 再発した場合、外科的な根管治療が必要になることがあります。
治療後の注意点・メンテナンス
治療後も状態を確認し、周囲のお手入れやかみ合わせの確認を行うため、3か月に1回程度の定期メンテナンスをおすすめしています。
また、歯ぎしりや食いしばりによる負担を軽減するため、ナイトガード(マウスピース)の使用をご提案しました。
一般的に 神経を抜いた歯は歯根破折のリスクが 高くなります。硬いものを積極的に噛まないよう注意点もお伝えしています。
治療後の経過

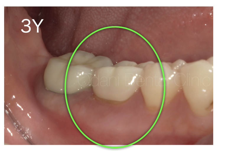
治療終了後3年の時点で、奥の歯の治療の際に撮ったレントゲンでは、黒い影は消失し、経過良好であることを確認できました。

治療終了後3年の状態です。現在は、違和感なく噛めるようになり、日常生活に支障なくお過ごしいただいています。また、奥の歯も歯周環境の改善の上でかぶせ治療を行い、同じく良好に経過しております。
根管治療のチャンスは一般的に1〜2回と言われています。状況によっては根管治療を試みようとしても、歯が割れていたり条件が悪いと治療自体が適応できないこともあります。とても貴重な1回の根管治療の選択をする上で、是非とも情報収集の上で将来のことを慎重にお考えいただくことをお勧めいたします。
