症例プロフィール
- 年齢・性別:30代男性
- 主訴:左下の奥歯が噛むと痛い
- 職業:歯科医師
来院までの背景

約2か月前より、何もしていなくてもズキズキとした強い痛みを感じるようになったとのことでした。
その後、強い痛みはいったん落ち着いたものの、噛んだ際の違和感が続くため来院されました。
初診時の状態と診断のポイント

診察および画像検査の結果、もともと入っていた詰め物の境目から細菌が侵入し、歯の神経に炎症が起こっていたことが分かりました。
一時的に強い痛みが出た後、症状が落ち着いたのは、神経が壊死してしまったためと考えられます。
CT画像では、歯の根の周囲の骨が大きく吸収していることが確認でき、それに伴い歯ぐきの腫れや、歯周ポケットが9mmと非常に深い状態になっていました。
このまま放置すると、さらに感染が進行し、骨の吸収が拡大する可能性が高い状態でした。
また、感染が歯の周囲に広がった場合、麻痺や骨髄炎などの重篤な問題につながるリスクも考えられる状況でした。
治療方針のご説明
歯根に破折がないことを前提に、感染根管治療を行うことで治癒が見込める可能性があることをご説明しました。
歯を残す選択肢として、根管治療を第一選択として治療を進めることとなりました。
実際の治療内容

- 治療部位:左下臼歯
- 治療内容:感染根管治療(初回治療)
まず、虫歯部分を徹底的に除去した後、細菌が再侵入しないよう隔壁を作製しました。
ラバーダム防湿を行い、30倍まで拡大できる歯科用顕微鏡下で、根管内の清掃・洗浄を丁寧に行いました。
洗浄には、薬剤や超音波洗浄に加え、超弾性ニッケルチタンファイルやEr:YAGレーザーも併用し、根管内の細菌除去を徹底しました。
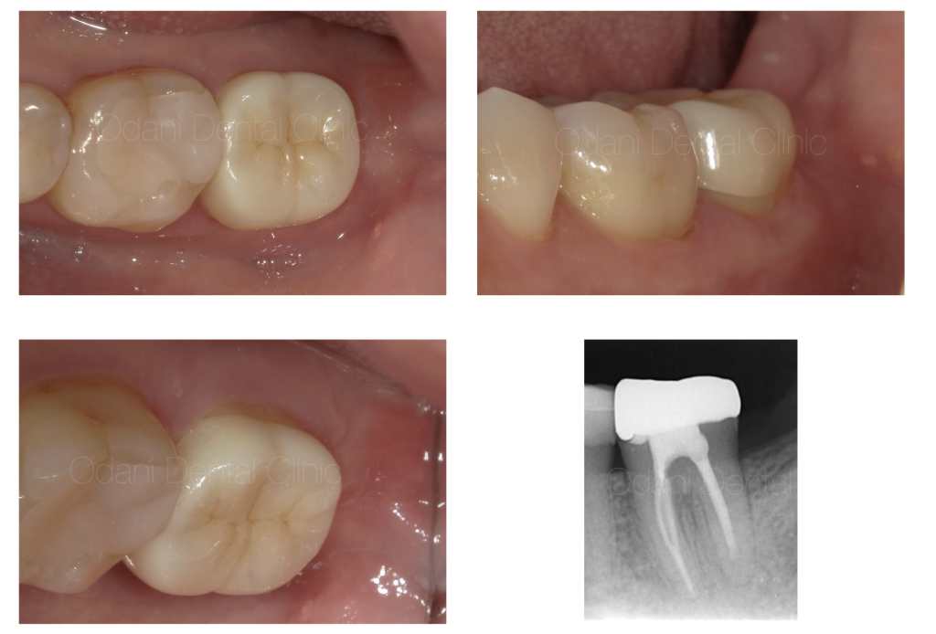
治療終了時の状態

根管治療後、 術後3ヶ月な状態です。黒い影がなくなり、骨が回復している様子が伺えます。

痛みや腫れ等の症状も全てなくなったため、最終のかぶせ物の治療を行いました。
治療期間・回数・費用
- 治療期間:根管治療後、約3か月経過観察を行い、CT画像にて治癒が確認できたため、最終的なかぶせ物の治療へ移行しました。
- 通院回数の目安:
・根管治療:2〜4回
・かぶせ物治療:3〜4回 - 費用:大臼歯 感染根管治療(初回) 11万円(税込)
※土台の補強とかぶせ物の費用は別途となります。
リスク・副作用について
- 治療後に一時的な痛みや違和感が出ることがあります。
- 根の病気が再発する可能性があります。
- 治療した歯が黒っぽく変色することがあります。
- 再発した場合、外科的な根管治療が必要になることがあります。
治療後の注意点・メンテナンス
治療後も状態を確認し、周囲のお手入れやかみ合わせの確認を行うため、3か月に1回程度の定期メンテナンスをおすすめしています。
また、歯ぎしりや食いしばりによる負担を軽減するため、ナイトガード(マウスピース)の使用をご提案しました。
一般的に 神経を抜いた歯は歯根破折のリスクが 高くなります。硬いものを積極的に噛まないよう注意点もお伝えしています。
治療後の経過
現在は、痛みなく噛めるようになり、日常生活に支障なくお過ごしいただいています。
根管治療のチャンスは一般的に1〜2回と言われています。状況によっては根管治療を試みようとしても、歯が割れていたり条件が悪いと治療自体が適応できないこともあります。とても貴重な1回の根管治療の選択をする上で、是非とも情報収集の上で将来のことを慎重にお考えいただくことをお勧めいたします。
