天然の歯もインプラントの歯も周りに十分な歯ぐきがあることは歯の長持ちのために必須条件となります
50代 女性 入れ歯でなく固定式の歯で噛(か)みたい
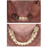
インプラント一次手術

患者様は失った歯の部分に入れ歯を入れておられましたが違和感が強く使えず、インプラントを用いた固定式の歯を作っていくことになりました。
インプラント治療にはさまざまな治療法がありますが、こちらは埋め込んで一旦歯ぐきで閉じ込め(一次手術)、インプラントと骨が結合する約3ヶ月(上アゴの場合は約4ヶ月)待ち、その上で頭出しのための2回目の外科処置(二次手術)を行う「2回法」という方法を採用しております。2回法は、期間はかかるものの感染のリスクが少なく確実に進めていける方法であり、安全性が高い方法と言えます。
インプラント二次手術

こちらは二次手術直前の状態です。

黄色のラインは歯ぐきのラインとなります。手前の歯の周りにも歯ぐきはほとんどない状況となっておりました。
歯ぐきの重要性に関する詳細はこちら>>>
また、青のラインは頬小帯(きょうしょうたい)というスジ状の繊維となり、歯のすぐそばまで存在していることで歯ブラシが当たると痛みを伴う状況が続いておりました。そのため汚れが管理しづらく、虫歯にもなっていたため、虫歯治療のために仮歯となっております。
丸印のところにはインプラント体が埋まっているのですが、二次手術時にその直上の歯ぐきに穴を開けるだけのパンチングといいう方法をとってしまうと、インプラントの歯の周りにも歯ぐきがない状態となってしまう状況でありました。
こういったケースでは、二次手術時に遊離歯肉移植術(Free Gingival Graft;FGG)という治療オプションを併用して同時に歯ぐきの問題を改善していきます。

実際は上アゴの青線の部分の歯ぐきの表面の部分を採取し、移植します。組織を採取したところは1ヶ月もすれば元通りに戻ります。

左は採取した状態です。歯ぐきの採取できる量にも限りがありますので、この長さが足りない時は、右の写真のようにアコーディオンカーテンのように切れ込みを入れることで伸びるようになるので、長さを増やすことができます。

インプラント二次手術と同時に採取した組織を必要な領域に設置した状態です。
| 治療内容 | インプラント二次手術 歯肉を増やすことと頬小帯を除去することを目的としたFGG 予約時間 90〜120分 施術時間60〜90分 |
| 費用 | インプラント時のFGGオプション費用 1採取 5.5万円(税込) ※インプラント基本費用は別途かかります。 |
| 期間 | かぶせものの型取りまで約2〜4ヶ月 |
| リスク・副作用 | 治療後、痛みや違和感、出血、腫れなどが出る事があります。喫煙者、糖尿病の患者様の場合、移植した組織が定着しにくいことがあります。 |
最終上部構造

組織の安定後に最終の型取りを行い、このような歯を作製していきます。

最終の歯を装着した状態です。

二次手術前と比べると、頬小帯が除去されただけでなく歯ぐきの量も増え、清掃しやすい環境の構築を行うことができました。
術前・術後の比較

術前・術後の比較です。
インプラント治療において、十分な歯ぐきがあることはインプラント周囲炎のリスクが下がることは過去の論文でも報告されています。ゴシゴシ磨ける環境は清潔な状態を保てるため、感染のリスクは下がります。
さらに、インプラント周囲だけでなく隣の歯も含めてお手入れしやすい環境ができれば、より安定することが言えるかと思います。
FGGはすでに治療が終わっているが歯ぐきが少なく、歯磨きしたら痛みがあるようなケースにおいても、適応することができます。
監修者情報

歯科医師 小谷洋平
経歴
- 京都府生まれ 洛南高等学校卒業
- 2009年 岡山大学歯学部卒業 岡山大学病院にて研修
- 2010年 貴和会新大阪歯科診療所 入職 佐々木猛先生に師事
- 2017年 貴和会新大阪歯科診療所 副院長就任
- 2019年 貴和会銀座歯科診療所 勤務
- 2021年 おだに歯科クリニック 開院
所属学会 他
- 日本臨床歯周病学会 認定医
- 日本顎咬合学会 咬み合わせ認定医
- 国際歯科臨床教育研究会 生活習慣と歯周病に関する認定医
- 日本口腔インプラント学会 会員
- 日本補綴歯科学会 会員
- 岡山大学大学院 インプラント再生補綴学分野 地域連携研修登録医
- 岡山大学病院 口腔インプラント講習会 会員
- JIADS(The Japan Institute for Advanced Dental Studies)講師






