歯を何らかの理由で失った時、その治療法としては「入れ歯」「ブリッジ」「インプラント」が一般的です。
それぞれの方法にメリットとデメリットがあり、どれも完璧というわけではありません。患者様ごとに状況は異なるため、どの方法が良いのかと患者様と相談し、治療法を決めていくことになります。
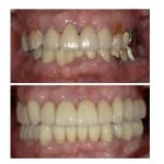
30代 女性 歯が割れて抜歯した


こちらの患者様は、両サイドの歯がとても綺麗で、ブリッジ治療を行う場合の歯を削る量がとても多くなることが考えられましたので、インプラント治療を選択されました。両サイドの歯は削ることなく修復ができました。

ピンク印:治療した部位
| 当院のインプラント1本の治療費 | 49.5万円(税込)+オプション代 |
| オプション内容 | 静脈内鎮静、外科用ステント、骨造成、歯肉移植、仮歯、最終上部構造の材質などを必要に応じて追加します。 |
手術後、痛みや違和感、出血、腫れなどが出る可能性があります。最終上部構造は必ずしもご希望通りの見た目にならない事があります。
インプラント治療のデメリットは、治療期間がかかること、外科手術が必要になること、そして治療費がかかることが挙げられます。
他の選択肢と比較して、より良い選択をすることが大切と言えます。
実際に当院にご来院されました患者様には、具体的な資料やご自身の状況に近い治療実例を見て頂き、治療に関するご相談をさせて頂きます。
当院は阪急京都線西山天王山駅徒歩2分、京都縦貫道長岡京インター目の前の立地のため、京都府、大阪府のみならず、兵庫県、滋賀県、三重県、福井県など広域エリアから多くの患者様にご来院いただいております。ご遠方からお越しの患者様は来院の回数が少なくなるように長めの予約時間を確保するなど、ご相談の上でご負担に配慮した治療計画を立案していきます。
監修者情報

歯科医師 小谷洋平
経歴
- 京都府生まれ 洛南高等学校卒業
- 2009年 岡山大学歯学部卒業 岡山大学病院にて研修
- 2010年 貴和会新大阪歯科診療所 入職 佐々木猛先生に師事
- 2017年 貴和会新大阪歯科診療所 副院長就任
- 2019年 貴和会銀座歯科診療所 勤務
- 2021年 おだに歯科クリニック 開院
所属学会 他
- 日本臨床歯周病学会 認定医
- 日本顎咬合学会 咬み合わせ認定医
- 国際歯科臨床教育研究会 生活習慣と歯周病に関する認定医
- 日本口腔インプラント学会 会員
- 日本補綴歯科学会 会員
- 岡山大学大学院 インプラント再生補綴学分野 地域連携研修登録医
- 岡山大学病院 口腔インプラント講習会 会員
- JIADS(The Japan Institute for Advanced Dental Studies)講師






