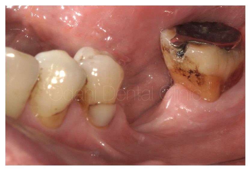
不幸にも歯が抜歯になるとき、歯の周囲の感染にともなって歯だけでなく周囲の骨や歯ぐきを大きく喪失していることが少なくありません。

こちらは重度歯周病のために歯と周囲の骨を喪失された方で、抜歯後に甚大な歯ぐきの凹みを生じております。

CT画像から、歯の欠損部の骨が大きく失われていることがわかります。
では、インプラント治療を選択される際に骨がなければどうすれば良いのでしょうか?
以前の記事でも記載しましたが、歯を失うと同時に骨まで失ってしまった場合、あるいはもともと骨の量が少ない場合などにおいては、インプラントを入れることが難しくなります。
その解決法とは
①骨のあるところにインプラントを入れる
②必要なところに骨を作ってインプラントを入れる
この二つが挙げられます。
しかしながら、①の場合はほとんどの場合が無理な方向にインプラントを入れることになるので、結果として歯がいびつな形になってインプラント周囲に清掃しにくい環境ができてしまうことがほとんどです。また、かみ合わせも理想的に作るのが難しくなる場合もあります。インプラントの長持ちの秘訣は、天然の歯と同じく「清掃できること」と「かみ合わせが安定していること」です。
インプラントを埋め込むための骨造成
写真の患者様はもともと大きく骨が不足していたため、インプラントを埋め込めない状態でした。まずは骨を作ってから骨が固まるのを待って改めてインプラント埋入を行うこととしました。一番奥の歯も予後不良でありましたが、この骨造成のためには一時的に保存した方が骨が作りやすいと判断し一旦は保存しております。

そして約半年待って骨が固まった状態で、インプラントを埋め込んでいきました。
インプラント埋入

骨が十分に形成されていたため、インプラント埋入手術は短時間で終えることができました。
また、歯ぐきが不足している場合は、歯ブラシするとインプラントの周りに痛みを伴い、清掃困難になります。

このように歯ぐきが大きく不足している場合(青色の点線)、そのままの歯ぐきの状態で進んでしまうと「磨けない」=「長持ちにつながらない」結果が予測されますので、歯ぐきを歯肉移植により再生し、ゴシゴシ磨けて長期安定する環境づくりに努めます。
歯肉移植を伴った頭出し手術

長持ちするための理想的な形の歯を入れるためには、理想的な位置にインプラントを埋入し、足りない骨と歯ぐきを作ることで清掃しやすい環境づくりを行うことがポイントになります。
・骨造成オプション 6.6〜19.8万円(税込)(材料や使用方法によって費用設定が変わります)
・歯肉移植オプション 5.5万円(税込)
※インプラントの費用は別途発生します。
術後起こりうること:痛みや違和感、出血、腫れ、内出血などが出る可能性があります。
骨が固まるまでの期間を考えて、治療期間は1−2ヶ月長くなります。
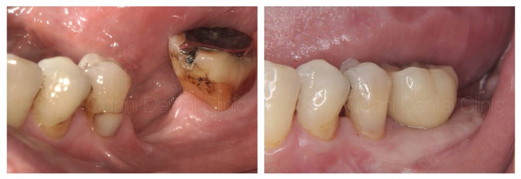
治療前と治療後の比較

最終的に予後不良の一番奥の歯は抜歯し、結果としてインプラントがより清掃しやすい環境となりました。

歯と歯ぐきと骨の連続性が得られ、すべてが管理しやすい状態となりました。
インプラント治療に関しては、さまざまな考え方があるかもしれませんが、当院ではインプラント治療においても治療結果の長期安定が最も大切なポイントであると考えております。そのためには、必要な時には骨造成や歯肉移植などもご提案させていただきます。治療内容に関してはお気軽にご相談ください。
実際に当院にご来院されました患者様には、具体的な資料やご自身の状況に近い治療実例を見て頂き、治療に関するご相談をさせて頂きます。
当院は阪急京都線西山天王山駅徒歩2分、京都縦貫道長岡京インター目の前の立地のため、長岡京市、大山崎町、京都市、向日市、亀岡市、宇治市、城陽市、綾部市、福知山市、高槻市、島本町、枚方市、茨木市、大阪市その他、広域からの来院が可能となっております。
監修者情報

歯科医師 小谷洋平
経歴
- 京都府生まれ 洛南高等学校卒業
- 2009年 岡山大学歯学部卒業 岡山大学病院にて研修
- 2010年 貴和会新大阪歯科診療所 入職 佐々木猛先生に師事
- 2017年 貴和会新大阪歯科診療所 副院長就任
- 2019年 貴和会銀座歯科診療所 勤務
- 2021年 おだに歯科クリニック 開院
所属学会 他
- 日本臨床歯周病学会 認定医
- 日本顎咬合学会 咬み合わせ認定医
- 国際歯科臨床教育研究会 生活習慣と歯周病に関する認定医
- 日本口腔インプラント学会 会員
- 日本補綴歯科学会 会員
- 岡山大学大学院 インプラント再生補綴学分野 地域連携研修登録医
- 岡山大学病院 口腔インプラント講習会 会員
- JIADS(The Japan Institute for Advanced Dental Studies)講師





